|
■入れ歯のエステ
|
入れ歯を入れなくてはならない患者さんは、高齢の方ばかりではありません。
お若い方でも、歯を失って仕方なく入れ歯を使用している患者さんは沢山いらっしゃいます。
そんな患者さんから必ずと言っていいほど相談を受けるのは、
『この入れ歯のピカピカ光る金属が外から見えないようには作れないのか?』
という事です。
|
通常入れ歯は、それを固定するために金属のバネを使用しますが、笑ったり、しやべったりしている最中に見え隠れするバネに対する審美的な不満が結構多いのです。
症例によっては、どうしてもバネが口元でピカピカひかる事になります。
確かに「私は入れ歯をしています!」と宣伝しながら歩いているようなものです。
この「スマイルデンチャー」は、そういった患者さんの声を反映して考案されました。
アメリカのもう50年以上前に開発された審美歯科の技術の入れ歯で、欧米では主流になりつつある金属のバネを使わない義歯です。
アメリカで50年以上前から普及しており、 イギリス等世界30ケ国で普及している、海外ではもう長い歴史を持つ入れ歯です。
入れ歯のピンクのプラスチック部分が従来のレジンではなく、熱可塑性ポリアミド(ナイロン)と言う弾性樹脂を使用しているため、歯に接触する床部分を薄く作るほどその弾性が増し、歯牙をしっかりと挟み込むので、ピカピカ光るバネ(クラスプ)を使用せずに義歯が作製できます。
この技術を使えば、バネを掛ける歯の下の歯肉にまで樹脂を回り込ませる設計が可能で、歯肉の形状にぴったり調和させ、生活上のどんなたわみにも、柔軟に対応させることができます。
また、噛む力も従来の義歯とほとんど変わりません。
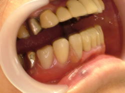
上の写真は、この患者さんの下の欠損部分にスマイルデンチャーを装着した状態です。
もし、説明抜きでこの写真を見せられたら、見た目ではどこが入れ歯なのか区別するのは難しいでしょう。
スマイルデンチャーに使用されるスーパーポリアミドは歯肉に近い色の素材を使っており、「厚み」は健康保険で作製する入れ歯の半分程度です。
このため、歯茎の色と見事に同化して、入れ歯が入っているようには見えません。また、スマイルデンチャーは、外側から目立たないだけでなく、内側の金具もありませんので、フィット感や舌感が良好で、違和感が減少します。
上の写真でも患者さんの自然な目元が感じられます。
これなら、何の抵抗もなく話をしたり、大きな口を開けて笑うことができます。
この患者さんの入れ歯を外した状態と装着した状態のお口の中の様子です。
さて、写真のように、笑うと見える場所に歯がない場合には、左右の歯にバネを引っ掛けて、入れ歯を安定させる設計が一般的ですが、ここにバネをつけると、会話をしたり、微笑んだりするたびに銀色のバネが見え隠れして、みっともないと感じる方が非常に多く、「見た目」の不自然さを気にされる患者さんが後を絶ちません。
事実、この様にスマイルデンチャーの装着治療を施した私自身が、しばらく経ってから調整のために来院した患者さんのお目の中を拝見したとき、一瞬どこからどこまでがスマイルデンチャーなのか迷うことがあるほどです。スマイルデンチャーの素晴らしさに脱帽します。
前歯のスマイルデンチャー
写真の状態が良好ではありませんが、どこにスマイルデンチャーが装着されているのか、わかりますか?
この患者さんは、審美的にまったく問題がなくスマイルデンチャーを装着できています。
前歯がなくなってしまった時にどうするか?
ブリッジを装着する・インプラントを稙立するというのも良い方法です。
しかし、残っている自分の歯を削られたくない・インプラント手術なんか怖くてしたくないという方もかなりいらっしゃるのではないでしょうか。
そのような時には『スマイルデンチャー』を選択肢に入れてみてもよいのではないでしょうか?
下の2枚の写真は、この患者さんの装着されたスマイルデンチャーとお口の中の様子です。
このようにスマイルデンチャーは審美性に関してはまったく問題がありません。歯茎と同化して違和感を感じさせない優れた部分入れ歯と言えるでしょう。
■弾力性のある違和感の少ない装着
下の写真のように、スマイルデンチャーには高い弾力性があります。
この弾力性によって、口の中で適度な維持力を発揮し、ぴったり合っている感覚が得られます。
入れ歯を入れていることさえ時々忘れてしまうこともあります。
単に柔らかいというだけではなく、スマイルデンチャーには薄くしても割れない(通常の入れ歯の半分程度の厚み)という性質があり、装着時の違和感が非常に少ないものです。
当院でこのスマイルデンチャーを初めて扱ったとき、本来ならばバネでしっかりと歯に固定する入れ歯が、こんな軟らかい材料で本当に外れないのだろうかという一抹の不安がありました。
『ウイング(部分入れ歯ではバネに相当する部分)』が折れて使えなくなるのではないかと心配した時期もありました。
しかし、スマイルデンチャーでは、このウイングも上の写真で示すようなスマイルデンチャーの持つ適度な弾力性によって、残っている歯にスマイルデンチャーをしっかりと固定でき、ほとんど破折の危険はありません。
■入れ歯と歯ぐきの間に食べ物のカスがつまりにくい
私は最初は審美と噛みあわせる力の両方を備えた義歯として、この『スマイルデンチャー』を導入しました。
装着した患者さんからは、その審美性の高さでとても喜んで頂けました。
ところが、実際にはもうひとつ嬉しい利点がありました。
この素晴らしい特徴は、当初私が全く認識していない事でした。
下の写真は、通常の健康保険で作製された義歯のバネの部分の拡大です。
 |
健康保険で作製された義歯は、バネと義歯の間にわずかな隙間(矢印部分)があります。
この部分に食べかすが詰まるために、特に外で食事をする時、いちいち洗面所に行って義歯の清掃をしなくてはなりませんでした。これは、部分義歯を使用される方の大きな精神的負担となっていました。
|
ところが、『スマイルデンチャー』では下の写真のように、隙間がほとんどありません。
写真の矢印部分は、健康保険で作製された義歯では隙間があって、食べ物のかすが詰まっていた部分です。
『スマイルデンチャー』では、隙間がほとんど無いためにこの部分に食べかすが非常に詰まりにくく、「食事がしやすい。」と喜んで頂けました。
|
 |
今では『食べ物のかすが詰まりにくい義歯』として、審美性のあまり関係の無い奥歯だけの少数歯欠損の患者さんにも喜んで使っていただけるようになりました。
■スマイルデンチャーの利点
① バネがないので、装着時に義歯とは気づかれにくい。
② 咀嚼、発音機能は通常通り、安定性がいい。
③ 弾力性の高い材質で薄くて軽く装着時の違和感が少ない。
④ 同じ材料で義歯の維持部、床部を製作するので精度の高い義歯ができる。
⑤ 無味無臭でアレルギーの心配はほとんどありません。FDA(アメリカ食品医薬局)承認済。
⑥ ナイロン系素材を改良したスーパーポリアミド、柔軟なのに衝撃に強い。
⑦ 破折に強く割れたり、折れたりしにくい。
さて、いくら欧米では歴史と実績のあるスタンダードな義歯とはいえ、私がこのスマイルデンチャーを導入する際には、かなり慎重に行いました。
実際に患者さんに装着してみますと、全くといって良い程トラブルも無く、気持ちよく使って頂けたので安心しました。
部分床義歯学の基本に忠実に設計を行い、バネの部分だけの設計をスマイルデンチャー独特の設計にする事で、何の問題もありませんでした。
さらに嬉しいおまけがありました。
患者さんの使用感が思いの外よかった事です。
|
 |
この原因はスマイルデンチャーの設計がとてもシンプルであるために、適合性の良さは健康保険で作製された義歯とは比べ物にならないほどで、
『入れ歯が歯とはぐきにぴったりと密着して、とても気持ちが良い。』
と、装着された患者さんは口をそろえておっしゃいます。
今では、ほとんどの患者さんに自信を持ってお勧めできる義歯のひとつになりました。
しかし、この『スマイルデンチャー』にも、歯の欠損の状態により、作製出来ない場合もあります。
既に、主治の歯科医の先生がいらっしゃる方は、主治の先生に御相談下さい。
|
 |
■スマイルデンチャーの欠点
さて、どんな入れ歯にも利点・欠点があります。この素晴らしいスマイルデンチャーも、残っている歯が少ない場合は作製することができません。
私の経験では、左右の一番奥の歯が無く、しかも左右どちらかの欠損歯数が4本以上になると不安定になりがちです。
このような状態では、食事のときに、一番奥の部分がやや浮き上がりぎみになってしまい、スマイルデンチャーの下に食べガスが入り込んだり、かむ力が十分に出ない場合があります。
もちろん、そういった方でもスマイルデンチャーを外出用の入れ歯として使用し、家で食事する際には別の入れ歯を使用するといった使い分けをすることも便利かと思います。
このような欠点を補う入れ歯として、スマイルデンチャーシリーズには、
・スマイルデンチャーシリコン
・スマイルデンチャーC+,Ti+
・スマイルデンチャーシリコンC+,Ti+
などが準備されております。
おひとりおひとりのお口の中の状態や御希望に応じて幅広く対応できる入れ歯が作製できる時代になりました。
当院での作製を御希望の方は、御来院頂ければ、適応症・費用・作製日数等につき詳しく説明せて頂きます。
また、当院の待合室には、実際の見本が準備してございますので、御来院頂だいて、実際に見本を手にとってご覧下さい。
|