|
お口の中の環境作リ
入れ歯に悩んでいる多くの患者さんの顎や歯茎は、入れ歯を作るために適切な状態になっていません。
そのため、いきなり型取りをして入れ歯を作っても、入れ歯はお口の中でちゃんと機能してくれません。
では、入れ歯を作るのに適切なお口の状態とはどのような状態で、どのようにすれば良い条件が整うのでしょうか?
日本は他の国々に例を見ない優秀な健康保険制度が完備されています。
それもあってか、歯に異常を感じても、日々の忙しさに取り紛れて痛みをギリギリまで我慢したあげく、健康保険証を持って歯医者さんに駆け込むというのが一般的パターンではないでしょうか。
いったん痛みが治まると、日々の忙しさに取り紛れて放置して、その場しのぎの治療で済ましてしまいがちです。
虫歯が左右にある場合には、かみやすい場所ばかりに負担をかけるため、その間にも、歯のかみ合せはどんどん低くなり、不都合なかみ癖がついてしまいます。
このような異常な状態に無理やり合わせた入れ歯を作製しても、まともにかめるはずがありません。
まず、口の中の変化、それにともなうかみ合わせの狂いをきちんと調べ、異常を正確に確認し、それを本来の姿に戻すことが大切です。
このステップを省略すると、不正常な状態に合わせた入れ歯しかできないので、当然、満足ゆく入れ歯にはなりません。
まずは、入れ歯作りにどうしても欠かせない、入れ歯を作る前のお口の中の環境整備について、しばらくお話したいと思います。
入れ歯はただ歯科医院に行って「型探り」さえすればでき上がるというものではありません。
もちろん、お口の中の環境が良好であれば、ただちに型探りをし、義歯の作製にかかるケースもないではありません。
しかし、入れ歯を希望されて来院される患者さんのほとんどは、治療用の入れ歯(治療用義歯)による、型探り以前の予備治療が必要です。
何ごとにも基礎となる部分か大切で、入れ歯作りも例外ではありません。基礎となる顎、歯茎の状態によっては、家造りでいう基礎の追加補強工事を施す必要があります。
治療用の入れ歯(治療用義歯)とは?
入れ歯の不都合を訴えて来院される患者さんには、今までの生活の中でついてしまった、「入れ歯にとって不都合なかみ癖」や「かみ合わせのズレ」が認められます。
このような「かみ癖」や「かみ合わせのズレ」を残したまま、新しい入れ歯を作っても、快適にかむことはできません。
ここで登場するのが治療用の入れ歯(治療用義歯)です。
今お使いになっている入れ歯(義歯)の調子が悪い場合、たくさんの要因が複雑に関わりあっていることがほとんどです。
早く最終的な入れ歯(最終義歯)の完成をしてほしいと、希望される患者さんが多くいらっしゃいますが、やむを得ず歯を抜いた時には、顎の粘膜が安定するのを待つために、治療用の入れ歯(治療用義歯)が必要になります。
最終の入れ歯(最終義歯)完成後もずっと快適な状態を保つために、この、顎の粘膜が安定するまで待つというステップは欠かせないものです。
また、総入れ歯でも部分入れ歯の場合でも、本来のかみ合わせにあっていない入れ歯を長く使っていることで、患者さんご自身の顎の位置とは違うところでかんでしまい、不適切で、不自然なかみ癖がついてしまっていることがよくあります。このような時、さまざまな不定愁訴を訴えるかたも多く、本来の自然なかみ合わせの位置に直すために治療用入れ歯(治療用義歯)で2~3ヶ月かけて治療をする必要があります。
 明らかに奥が低くなった入れ歯(時間をかけて正常な高さに戻す必要がある) |
いずれの場合も、患者さんにとって最善の入れ歯を作るために、治療用の入れ歯(治療用義歯)はおろそかにできません。
当院での治療用の入れ歯(治療用義歯)は、現在使用中の義歯をそのまま使用することが多いのですが、必要があれば新たに作製します。
治療用の入れ歯(治療用義歯)を使用して、現在のかみ癖やかみ合わせのズレを正常な状態に戻します。
これには、数回の調整で終了するケースもありますが、長い間入れ歯でうまくかめない方や、下顎が上顎に対してかなりズレでいる方の場合には三ヵ月以上かかることもまれではありません。
この治療用の入れ歯(治療用義歯)を調整しながら、皆さんの歯・歯茎・顎の状能才左右の筋肉のバランスを調整して、快適な入れ歯に最も適したお口の中の環境にしてゆくのです。
食べ物をかむ動作は反射運動
「反射運動」というと、「熱いやかんに手が触れるとすぐに手をひっこめる」とか、「病院で膝をコツンと叩かれると足が自然に上にあがる」という、自分の意思ではどうにもならない反応を想像します。
ですから、かむ動作は自分の意思で行っているものだから、それを反射運動だと言われても鮒に落ちないことでしょう。
ここで私か述べたいのは、食べ物をかむ動作のことではなく、かんでいるときに口の中で起こることです。
皆さんがパンを食べているときを想像してみて下さい。
まず、前歯でパンをかみ切って、これを唇や舌や頬を使って上下奥歯の間に運びます。前の方に来たパンは唇が支えて、舌の上に乗せます。
次に上の奥歯と下の奥歯の開からパンがずれないように舌が内側から、頬が外側から食べ物を支えます。
そして、舌と頬は上下の奥歯がかみ合う直前にすばやく逃げて、パンだけがかみ砕かれます。
この間に、唾液腺から唾液が分泌され、パンに唾液が付着します。そして脳からの指令で再びかむための筋肉が縮んでパンをかみ砕きます。
これらの反射運動が実に見事なコンビネーションで繰り返され、パンが唾液と混ざって柔らかくかみこなされると、次に「飲み込む」という動作で胃に送られることになります。
この一連の反射運動がスムーズに行われた時、私たちは「おいしい!」と感じるのです。
このように神様が我々に与えてくれた「咀嚼運動」は、非常に複雑で高度な技術を要する運動です。
現在のところ、この運動を機械やロボットにさせようとしてもまったくできません。
神様からいただいた自分の歯が、これらの反射運動に見事に調和し、いとも簡単に食べ物をかみ砕き、食事を楽しくしてくれています。
治療用の入れ歯(治療用義歯)の役割
入れ歯は、この複雑かつ巧妙な反射運動に的確に調和するものでなければなりません。
入れ歯で悩んでいる方の場合、この反射運動に的確に調和するための最終調整がぼとんどなされていません。
それに加えて、具合の良くない入れ歯でI生懸命かもうとして、変なかみ癖がついていたり、不自然に唇・舌・頬の筋肉を使う癖がついてしまっています。
このように、顎とお目の固囲のかむことに関連する筋肉の運動に不調和がある状態で新しい入れ歯を作っても、うまくかめるはずがありません。
そこで、治療用の入れ歯(治療用義歯)が活躍します。
かみ合わせの高さの調整の仕方・かみ癖を直す方法
たとえば、長い間、右側ばかりでかんでいると、入れ歯の右側の人工歯が磨り減って入れ歯の右側の高さが低くなっています。
これに加えてかむ筋肉は右側ばかり発達して、左側はかむ力が弱くなっています。
これは、左右のかみ合わせの筋肉バランスが完全に狂っている状態です。
しかも、この狂いが長期間にわたって少しずつ起こっているために、本人は違和感を感じていないことがほとんどです。
このような状態の方に話を聞くと、多かれ少なかれ頭痛や首筋の張り、肩こりなどの症状をばとんどの方が待っておられます。
また、このような方の顔を正面から見ると、右側の唇の角が下がり、右側の筋肉が発達肥大して、左側より右の頬の方がすこし大きく見えます。
このように、かみ癖はその方の表情にまで影響を及ぼしています。
そこで、必要があれば他の治療用装置を併用して、かみ癖のために低くなってしまった治療用の入れ歯の右側に少しずつプラスチックを追加して高くしてゆきます。
ただし、このような症例では、右側ばかりでなく左側もつられて低くなってしまっている場合が多いので、結果として左右の人工歯の上に少しずつプラスチックを盛り足して、バランスをとりながら入れ歯を適切な高さに戻してゆきます。
この操作を数回繰り返すことで入れ歯の左右の高さが適切な状態になり、左右どちらでも同じようにかむことができるようになります。
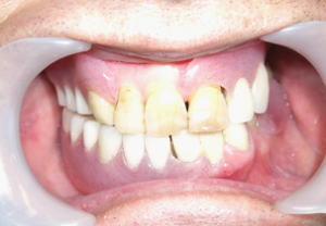
ここで、当院で行った『かみ合わせが極端に狂っていた症例』を約1か月半かけて補正して、その後に最終の入れ歯を作成した症例をご紹介いたします。
この患者さんは2年以上前に入れ歯を作り、調整を繰り返しましたがどうしても『かめない』ということで当院を受診された方です。
精神的にもかなり参っておられるようで『なんとかかめる入れ歯を作ってほしい』という初診時の切実な言葉が、今でも私の耳から離れません。
とりあえず初診時の入れ歯を拝見させて頂いた時かなり奥が低くなっており、入れ歯を外した状態ではぐきの高さが左右で異様に異なっていたのが印象的でした。
細かな治療のテクニックに関しては割愛させて頂くことにして、使用中の入れ歯を治療用の入れ歯として使用して奥歯の高さを繰り返し補正して、なんとかかめる状態になった時の状態が下の写真です。
 |
これは上の入れ歯を補正したものです。
上下が逆になっていますが、入れ歯の左側に異常に高くプラスチックが盛り上げられているのが印象的ですね。 |
 |
これは下の入れ歯を補正したものです。
上下が逆になっていますが、入れ歯の右側に見事な『塔』が4つ出来てしまいました。
ここまでくると『芸術的』という感じがしますね。 |
この補正された入れ歯をお口の中に戻した状態が下の写真です。
 何と申しましょうか? よくもここまで入れ歯がくるっていたものです。 右の奥がかなり高くなっているのが良くお分かりになると思います。 この患者さんはこの状態でなんとかまともに物が噛めるようになりました。 |
少し左側から見た写真です。 右側が高くなったのにつられて左もある程度高くなっています。 この事は、この患者さんのかみ合わせは左右で別々の程度で狂っていた事を示唆します。 それにしても大きく変わるものです! |
さて、この患者さんにさらにご協力を頂いて、複雑な入れ歯作りのステップを丁寧に進めてゆき、最終の入れ歯を作りました。
その状態が下の写真です。
 綺麗なかみ合わせの入れ歯が出来ました。 この患者さんは2年以上も柔らかい食べ物と汁物だけで食事を済ませておられたのだそうです。 この入れ歯になってからは『食べたいと思うものでかめない食品はなくなり 食事に不自由を感じる事はなくなった。』と話してくださいました。
ちなみに、上の入れ歯は『シリコンフィット優Ti+』(現在名称 スマイルデンチャーシリコンTi+) 下の入れ歯は『シリコンフィット優C+』(現在の名称 スマイルデンチャーシリコンC+) で作成しました。
入れ歯を作る前のお口の中の環境整備と患者さんと二人三脚で協力しあって 最新技術を使って作られた入れ歯は素晴らしいものです。 |
治療用の入れ歯(治療用義歯)を使って、左右のかみ合わせの高さが適切な状態になるころには、頭痛や首筋の張り、肩こりなどの不快な症状ははとんどなくなってしまいます。
左右の人工歯の高さが低くなる原因は他にもあります。
まだ自分の歯があったころ、虫歯の大きな穴を放置していたり、初めて抜歯をした後に適切な処置をせずにほったらかしていると、対合する歯が伸び出して、なくなってしまった歯のせいで顎の位置が後ろにずれてしまうこともしばしばあります。
また、日々の仕事や生活の中で受けるストレスが原因で、寝ている間に知らず知らずのうちに「かみ締め」や「歯ぎしり」を繰り返した結果、奥歯が磨り減ったり、傾いたりしてかみ合わせの高さが低くなる場合も非常に多く見受けられます。
このようなケースでは、当の本人がその原因を自覚していないことが多く、治療用の入れ歯(治療用義歯)の必要性を理解していただくのに一苦労する場合もあります。
このような状態を放置したまま入れ歯を作ると、でき上がった入れ歯は最初から奥歯の高さが低い状態になってしまいます。
満足できる入れ歯を作るために
たとえば、このホームページでご紹介する生体用シリコーン裏装義歯はかみ締めても痛くない、最新技術を使って作製された入れ歯です。
「生体用シリコーン裏装義歯」自体は素晴らしい技術で、ぼとんどの入れ歯をこの「生体用シリコーン裏装義歯」で作ることができますが、肝心のお口の中の状態やかみ合わせがきちんとした状態にならないと、その機能を十分に発揮できないばかりか、時として「お金の無駄遣い」に終わってしまう場合も珍しくありません。

治療用の入れ歯(治療用義歯)は、狂ってしまったお口の中のいろいろな状態を、生理的に良好な状態に戻すのに大いに役立ちます。
生理的に良好な状態仁戻すのに大いに役立ちます。逆に言えば、このステップを省略して作製された入れ歯は、適合性はいくらか良くなりますが、実際にはお口の中で入れ歯
の機能が十分に発揮できないことが多く、その結果として、相変わらず「かめない」「痛い」「気持ちが悪い」を延々と繰り返すことになります。
使用している入れ歯が、
・なんとなく、うまくかめない
・かむと痛くて食べ物がかめない
・入れ歯がすぐ外れる
・かむと入れ歯がこすれて痛い、入れ歯の安定が悪い
・入れ歯でかむとアゴが疲れる
・入れ歯を入れると話しづらい
・入れ歯を長時間入れておくことができない・すぐ外したくなる
|
というような状況では、いきなり最終義歯を作製しても、結局は同じような不満の残る入れ歯になってしまいます。
このような状態で悩んでおられる方は、治療用の入れ歯(治療用義歯)によるお口の中の環境作りが必要不可欠です。
その上で、新しい入れ歯を作れば、必ず満足できる入れ歯ができ上がります。
入れ歯作りの実際のおおまかな流れは、前述の健康保険を使った入れ歯作りとほぼ同じですが、健康保険の制限を受けませんので、歯科医がその持てる技量を十分に発揮して『入れ歯作り』に心血を注ぐことができます。
トップページでも述べました様に、ここからは『歯医者』と『患者さん』がお互いに協力しあって二人三脚で入れ歯作りを進めてゆく事になります。
繰り返し述べますが、この入れ歯作りでの各ステップでは『患者さん』の協力が必要不可欠です。
型採りにひとつにしても、入れ歯によっては合計5~8回も採らなくてはならない場合がしばしばです。
何故なら、通常始めに型を採る材料は、型を採ったあと時間の経過とともに収縮してしまいます。
また、この型に石膏を流し込んで歯型模型をつくりますが、この石膏は固まる際に膨張します。
型採りの材料の収縮率と石膏の膨張率に差があるため、出来上がった歯型模型は参考程度の模型にしかなりません。
この模型を元にして、患者さんひとりひとりにうまく適合したトレー(型を採る材料を盛ってお口の中で型をとるうつわ)を作成し症例に応じて、型採りの材料を選択して精密な型採りを行います。
さらに必要に応じて出来上がった(比較的)精密な歯型模型から作成した『咬合床』というものを使って、今度はお口の中で『かむ力』を利用してより精密な型採りを行う場合もあります。
症例によっては、さらにこの後、機能印象などの精密な型採りを行うこともしばしばあります。
患者さんには、これらひとつひとつのステップを良く理解して頂いて入れ歯作りに積極的に協力していただく事になります。
入れ歯は型さえ採れば出来るものではなく、この他にも咬みあわせや顎の運動など症例に応じて何回も治療に協力して頂かなくてはなりません。
さらには、ひとつひとつのステップを確実に行ったつもりでも、実際にあとから確認すると不具合が見つかる場合があります。
この不具合を放置して、次のステップに進むと型の歪がどんどん拡大して、最終的に出来上がった入れ歯には必ず不都合が発生します。
こういった不幸を防止するためには、ひとつ前のステップに戻ってもう一度同じ操作にお付き合い頂かなくてはならない事もあります。
入れ歯を作る歯科医は、張り切って頑張りますが、時にはこのような事もある事を是非ご理解下さい。
こうして、来院回数5~8回、作り始めてから45~50日程度の期間の後、やっと最終の入れ歯が出来上がります。
しかし、これで終わりではありません。
今度は出来上がった入れ歯がお口の中でちゃんと機能して、痛くなく快適にかめるようにするために、かみ合わせや入れ歯のフチの部分を削って調整を行わなくてはなりません。
これにより、快適にかめるようになった後も、定期的に来院して頂き、入れ歯に不都合がないかの確認を怠らないようにしましょう。

|